ROMA TUSCOLANO - Via degli Ottavi, 12 00174 ROMA
2016 Copyright . Dott. Massimo Monaldi. - P.I. 10442360581
Via Degli Ottavi, 12 - ROMA - All Rights Reserved
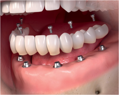
Si tratta di una tecnica chirurgico- protesica odontoiatrica che prevede la realizzazione di un'arcata completa composta di solito da 12 denti (più raramente da 14)avvitati su 4 o 6 impianti (da cui il nome).
Gli impianti in titanio vengono inseriti nell'area con una lunghezza ed angolazione atte a sfruttare il maggior supporto osseo possibile, secondo dei criteri stabiliti da un protocollo internazionale ormai accettato da tutti i dentisti.
L'arcata dei 12/14 denti in resina o composito viene supportata da una barra in titanio fresata al CAD/CAM di assoluta pressione che sarà avvitata su attacchi particolari (MUA: Multi Unit Abutment) degli impianti rendendo così il lavoro FISSO.
All on four può essere realizzata a carico immediato o differito.
A CARICO IMMEDIATO significa che i denti fissi definitivi saranno avvitati subito dopo l'intervento chirurgico.
Questo avviene tutte le volte che la situazione ossea del paziente lo permette. Anche in questo caso si seguono linee guida del protocollo internazionale.
A CARICO DIFFERITO significa che al paziente dopo l'intervento sarà applicata una protesi totale classica (rimovibile) e solo dopo 4-6 mesi sarà possibile consegnare i denti fissi definitivi.
Questo avviene quando la densità ossea o la presenza d'infezioni o la necessità di fare adeguate rigenerazione di osso (G.B.R.) impediscono di applicare sui 4-6 impianti il carico masticatorio sui denti posteriori del paziente che varia dai 40 agli 80 Kg/Cm2 (cioè non poco!)
Nel nostro studio realizziamo all on four a carico immediato con denti fissi e definitivi nel 95% dei casi.


CARICO IMMEDIATO

PRIMA E DOPO
TRA IL PRIMA E IL DOPO SONO PASSATE SOLO SEI ORE

PRIMA E DOPO
TRA IL PRIMA E IL DOPO SONO PASSATE SOLO SEI ORE
ROMA TUSCOLANO - Via degli Ottavi, 12
VALMONTONE - Via Mario Piacentini, 24
2016 Copyright . Dott. Massimo Monaldi. - P.I. 10442360581
Via Degli Ottavi, 12 - ROMA - All Rights Reserved