ROMA TUSCOLANO - Via degli Ottavi, 12
VALMONTONE - Via Mario Piacentini, 24
2016 Copyright . Dott. Massimo Monaldi. - P.I. 10442360581
Via Degli Ottavi, 12 - ROMA - All Rights Reserved
IMPRONTA E PROTESI DIGITALE
(CAD-CAM)
La protesi dentale è un manufatto realizzato su misura per il paziente che serve a sostituire la dentatura originaria persa o compromessa.
La sostituzione si può effettuare per motivi funzionali (ripristino dell’attività masticatoria) e/o estetici.
Si divide in protesi fissa e protesi rimovibile
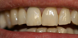
Nel nostro studio la protesi fissa viene realizzata utilizzando nuove tecnologie digitali che si avvalgono di una progettazione e realizzazione al computer CAD-CAM (Computer Aided Design - Computer Aided Manufacturing), una tecnologia di ultima generazione che permette di rilevare le impronte dentali attraverso una scansione digitale 3D del cavo orale del paziente, massimizzando l’accuratezza dell’impronta ed abbattendo le tempistiche.
Una volta elaborata la scansione dell’arcata comprensiva del dente che si vuole realizzare il file viene inviato nella nostra unità di fresaggio che da un blocchetto di ceramica in pochi minuti realizzerà il manufatto definitivo.
Principali vantaggi per il paziente
elimina la spiacevole esperienza connessa ai materiali d’impronta
realizzazione di protesi definitive in un ‘ora
eliminazione della protesi provvisoria
La protesi rimovibile è un tipo di protesi dentaria che può essere tolta ed inserita nel cavo orale a piacimento del paziente.
Esistono due principali tipologie di protesi rimovibili:
ad appoggio mucoso sulla gengiva (dentiere), sono formate da una parte in resina acrilica rosa e da elementi dentali in resina realizzati in modo tale che siano il più possibile simile ai denti naturali. Le dentiere necessitano di essere riviste periodicamente per essere adattate ai cambiamenti fisiologici della gengiva e dell’osso. Questa operazione è detta ribasatura.
ad appoggio misto quando mancano solo alcuni denti e può essere realizzata interamente in resina ( nuova tipologia con ganci estetici) o scheletrata cioè cioè formata da resina e un supporto metallico sul quale vengono inseriti gli elementi dentari in resina o composito.

MOLARE INCISIVO FRONTALI SUP
disilicato di litio zirconio ceramica metallo ceramica


ROMA TUSCOLANO - Via degli Ottavi, 12
VALMONTONE - Via Mario Piacentini, 24
2016 Copyright . Dott. Massimo Monaldi. - P.I. 10442360581
Via Degli Ottavi, 12 - ROMA - All Rights Reserved